What is Cardiovascular Interventional Technology
Shortly after the discovery of x-rays, the possibilities for demonstrating the vascular system were realized. However, arteries and veins do not show on a radiograph unless something is injected into them. Iodine proved to be the best choice for safety and effectiveness. An examination of arteries is called an arteriogram, and veins, a venogram.
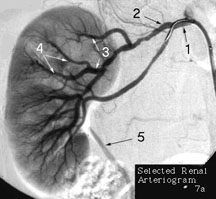
Arteries are prone to numerous disease processes, but the most common pathology is atherosclerosis, also know as hardening of the arteries. This disease causes the inside of arteries to narrow due to the build up of deposits that, over the years, begin to mineralize and harden. Note the moderate narrowing of the renal artery immediately after number 2 in the above image.
If this disease is present in the arteries of heart it can lead to a heart attack. If it blocks the arteries to the brain, it causes a stroke. Virtually every artery of the body can be affected, although in addition to those mentioned, the kidneys and lower extremities are most often affected.
To diagnose this condition, a catheter (long, thin, flexible, hollow tube) is placed into the arterial system, and iodine is injected in the vessel to be examined. The result is an excellent demonstration of any major artery in the body, and the opportunity to diagnose and treat a disease which is life threatening.
This image of the right kidney is a renal arteriogram. Note the placement of the catheter in the renal artery (#1). Number 5 is the urteter, which is seen because the contrast that was injected through the catheter, has already passed through the filtration system of the kidney, and is heading for the bladder.
#2. Proximal subdivion of renal artery
#3. Segmental renal arteries
#4. Interlobar arteries
