What is Portable Radiography?
Depending on the size of a hospital or medical center, there is one or a team of radiologic technologists who use portable radiographic and fluoroscopic equipment to go to patients when patients cant come to the imaging department.
Every patient room, recovery room, intensive care suite and neonate nursery is a potential site for portable radiologic imaging. Portable radiographic machines may be used with standard radiographic film or a plate containing detectors that digitizes the image for display on a computer screen.
Trauma Radiography
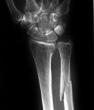
Additionally, the emergency room (ER) is a typical site for portable radiography and even fluoroscopy. Trauma radiographers provide the images that are often required to make the initial diagnosis that determines the patients course of treatment. Whether an injury is caused by a traffic accident, a fall, a gun-shot wound, or an explosion -- the first golden hour is extremely important to the success of recovery.
Trauma radiography done in the emergency room using portable equipment, or in the imaging department, requires working quickly and accurately in stressful situations.
Surgical Radiography
Imaging is commonly used in surgical procedures in the operating room (OR). One might think there would be no need to see inside the body during surgery, because the surgeon is already there. That is not always the case.
The area being treated may extend beyond the incision. For example, a rod made of surgical steel may be placed down the center of a leg bone -- well past the area where the leg is broken. Radiography or fluoroscopy are required to assess the placement of the rod.
On other occasions a surgical instrument may be used to probe beyond what is visible, and imaging is required to guide the way.
Everyone has heard of those occasions (rare as they are) when a surgical instrument has been left inside a patient. A careful count of all instruments is done at the completion of surgery, and if something cannot be accounted for, a radiograph will often provide the answer.
Mobile Radiography
Many technologists work for mobile imaging business while others run their own businesses. There is not an imaging machine that can not be put into a small truck, RV, or even an 18-wheeler, and taken where that machine would not otherwise be available.
Small hospitals or medical clinics in rural areas may not have enough patients to justify the purchase of expensive machines, so they contract with a mobile service to bring the machine to them.
Once a week (more or less) the truck will pull up beside the hospital and do examinations such as CT scans, MRI scans, or mammography, for all the patients who have had that examination ordered in the previous week.
Emergency cases must be transported by ambulance or flown by helicopter, but many examinations may be delayed a week or more with no harm done to the patient. It is actually less expensive and far more convenient to bring the machine to the patients than it is to take the patients to the machine.
