What is Computed Tomography (CT)?
Computed tomography made its debut in 1972, but it wasn't until the 1980s that it came into the common usage it enjoys today. In the early years, it was known as CAT scan. Although that term is still heard today, its official nomenclature is CT.
CT uses x-ray energy from an x-ray tube, but eliminates much of the superimposition of a radiograph by demonstrating the body in a series of sections. This has been compared to viewing a loaf of raisin bread by looking at each slice, one at a time. Just as the number and position of the raisins could be accurately determined using that method, so too does the detail of human anatomy become dramatically improved using CT.
Another major advantage of CT over radiography is the ability to see structures and organs that blend together in a common shade of gray on a radiograph. For example: a radiograph of the abdomen will not demonstrate the gallbladder, because the liver, which the gallbladder is superimposed on, is the same shade of gray,
A section of the abdomen on a CT scan through the liver and gallbladder will show them both in dramatic detail. This is due to the fact that the detectors of the CT are more sensitive to changes in the x-ray beam than a radiographic film, and the CT computer is able to enhance those changes after they are recorded.
CT scanners are found in most medical facilities today; even smaller and rural hospitals have them. Larger hospitals have more than one, and some may have three or four.
Because of the tremendous volume of CT examinations that are done, some facilities run their scanners two shifts a day, 16 hours straight. The technologists who operate the machines, and care for the patients in their charge, may do CT exclusively, or, at some institutions technologists may rotate between CT, and one or more other modalities.
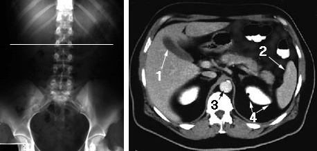
The CT image dramatically demonstrates organs and tissues that are all similar shades of gray on the radiograph. No. 1 is the gallbladder surrounded by the liver; No. 2 is the spleen; No. 3 is the abdominal aorta; and No. 4 is the upper pole of the left kidney.
