What is Magnetic Resonance Imaging (MRI)?
Shortly after computed tomography captured the imagination of anatomists and medical practitioners, MRI came on the scene and eclipsed CT it for its ability to demonstrate detail of the human body. Like CT, MRI images are thin cross sections of the part of interest.
Unlike the other radiologic modalities, MRI does not use x-ray energy to create images, and causes no known damage to tissues.
Magnetic Resonance Imaging is computer generated and controlled. The patient lays inside a tube through the middle of the magnet, in a machine that looks very similar to a CT scanner.
The patient lies inside a large, powerful magnet. Randomly oriented hydrogen protons spinning, charged particles in the patients body act like tiny magnets and line up parallel to the magnetic field, like the needle of a compass lines up to the earths magnetic field.
Next, energy in the range of radio frequencies (RF energy), is directed toward the body. The hydrogen protons that are spinning at the same speed (resonant frequency) as the RF field, absorb this energy, and line up parallel to the source of the RF, which is perpendicular to the magnetic field they were first aligned to.
Then, the RF field is turned off, the protons return to their orientation parallel to the magnet, and the absorbed RF energy is released. This creates the MRI signal. This process is repeated many times, until enough data has been gathered to reconstruct an image.
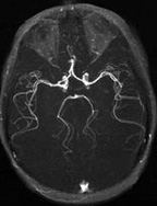
Magnetic Resonance Angiography (MRA), is a technique to demonstrate the vascular system without an injection of a material to make it show up, though an injection may be used to enhance the effect. The image to the left is an MRA of the brain, showing the cerebral arteries, and the vessels of the circle of Willis.
Using increased computer power and advanced techniques, MRI images are set in motion to create a fluoroscopic effect. The results are spectacular.
The image on the left is a transverse section through the head. The eyes are in front, and the nasal cavity is between them. The Mickey Mouse looking structure in the middle is the mid-brain.
The image on the right is through the pelvis and hips, as though you are looking from the front to the back.
Magnetic Resonance Angiography (MRA) is a technique to demonstrate the vascular system without an injection of a material to make it show up, though an injection may be used to enhance the effect.
The image to the left is an MRA of the brain, showing the cerebral arteries and the vessels of the circle of Willis.
